低碳鐵素體-珠光體鋼通過微合金化處理后依靠晶粒細化和析出強化能夠獲得的屈服強度極限一般不會超過600MPa。要想得到屈服強度600MPa以上的超高強度鋼,貝氏體或馬氏體的組織強化是必要的。
由于貝氏體是鋼中最復雜的組織,至今人們對貝氏體相變的機理還沒有形成完全一致的認識。貝氏體轉變過程中對碳是通過α/γ相界面擴散還是在過飽和鐵素體中體擴散仍然存在爭論。另外,貝氏體相變溫度低,析出相更細小,實驗觀察也更加困難。這些因素一直制約了微合金化元素析出相在貝氏體鋼領域中的研究工作。最新的技術發展為人們開展這一方面的研究創造了條件。
貝氏體鋼應用領域很廣泛,從高碳鋼一直到超低碳鋼都有應用。在超低碳貝氏體鋼領域,由于其良好的強韌性匹配,近年來獲得了越來越廣泛的應用。為了進一步提高貝氏體鋼的強度,在細化貝氏體組織的同時,充分發揮析出強化的作用是非常重要的。在歐洲煤鋼聯盟的支持下,歐洲相關的研究機構及鋼鐵企業合作對釩、鈮、鈦微合金化在貝氏體鐵素體中的析出反應開展了深入的研究工作,取得了許多有意義的成果。
與多邊形鐵素體相變相比,貝氏體相變溫度更低,速度也更快,因此,貝氏體鐵素體處于亞穩狀態,有可能存在大量過飽和的碳,即貝氏體鐵素體中能夠參與析出反應的碳有可能要比多邊形鐵素體中的高很多,這大大增加了碳氮化物在貝氏體鐵素體中析出的化學驅動力。熱力學計算結果表明,微合金碳氮化物在350~450℃溫度范圍內的貝氏體鐵素體中形核的驅動力比600℃時多邊形鐵素體中形核的驅動力高2~3倍。這些因素為微合金碳氮化物在貝氏體鐵素體中的析出創造了條件。
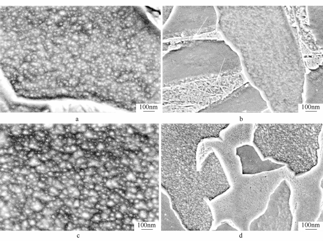
圖1顯示了V-N微合金化低碳貝氏體鋼中碳氮化釩析出相的高分辨掃描電鏡(HRSEM)照片。圖中可見,細小的V(C,N)顆粒在貝氏體鐵素體中析出。析出相的形貌與貝氏體形態有關,粒狀貝氏體中的析出相彌散隨機分布,板條狀貝氏體中的析出相出現類似相間析出的成排分布。貝氏體鐵素體中的V(C,N)析出顆粒都非常細小、均勻,并且析出相也十分穩定。說明V(C,N)析出相是在貝氏體鐵素體板條形成過程中析出,一旦貝氏體板條完成相變,析出相的長大也隨之停止。
圖1 V(C,N)在0.1%C-0.20%V-0.015%N的低碳貝氏體鋼等溫過程中的析出相 a,b—550℃/1800s;c,d—450℃/1800s 在貝氏體鐵素體中析出的碳氮化釩的形貌也是以薄片狀為主,如圖2所示。研究發現,析出相與貝氏體鐵素體之間的晶體學取向關系符合B-N位向關系。 圖2 貝氏體鐵素體中V(C,N)形貌 TEM照片 含釩的低碳貝氏體鋼中(0.1%C),貝氏體鐵素體中碳氮化釩析出相有三種類型:(1)位錯線上的析出相;(2)類似相間析出呈層狀分布的析出相;(3)球狀析出相。貝氏體鐵素體中最常見的碳氮化釩析出相是在位錯線上形核的析出相,如圖3a~d所示,析出相形貌以薄片狀為主,它們與貝氏體鐵素體基體保持共格或半共格關系。詳細的形貌觀察結果表明,大量的碳氮化釩析出相是在貝氏體鐵素體板條長大過程中析出的,因此出現了類似相間析出的成排析出相,見圖4。TMCP工藝處理的含釩鋼中,貝氏體鐵素體中還觀察到碳氮化釩的球狀析出顆粒,如圖5所示。這種析出相尺寸稍大一些,很可能是發生在形變帶上的應變誘導析出所致。 圖3 位錯線上析出V(C,N)顆粒TEM照片 a—550℃/300s;b—550℃/1800s;c—500℃/300s;d—500℃/1800s 圖4 類似相間析出的V(C,N)析出相 a,b—550℃/300s 圖5 析出的球狀V(C,N)顆粒TEM照片 a—550℃/300s;b—550℃/1800s






