表面滲氮金相組織機理的研究
摘要:以Fe-N相圖、氮化物晶體結構及相變平衡態為依據,研究分析了滲氮過程中形成的各種間隙化合物、γ相的轉變組織以及α-Fe相中的析出組織的結構特點,并分析了各種相的生長機理及影響因素。大量圖片及數據為實現對滲氮過程中形成的各種金相組織進行判定,提供了依據,并彌補了目前行業內滲氮過程中氮化物金相組織結構研究數據較少的狀況。
01前言
鋼鐵零件在一定溫度的可釋放活性氮原子的介質中保溫一定時間,使其表面滲入氮原子的過程叫作鋼的滲氮或氮化。自1923年,被德國人應用在鋼鐵上以來,滲氮工藝是目前對零件進行表面強化處理而廣泛采用的技術之一。相對于常用的滲碳工藝,該工藝熱處理溫度低、畸變小,可明顯提高零部件的表面硬度、耐磨性、耐腐蝕性、抗疲勞性和抗咬合能力,有效延長了零部件的使用壽命。由于這些優點,滲氮處理廣泛應用在汽車、船舶、航空等機械部件的生產中。
隨著工業技術的發展,對工件表面強化的要求越來越高,滲氮工藝的種類也越來越多。但由于鋼中含有不同程度的鋁元素,形成的非金屬夾雜具有過熱敏感性,使滲氮層表面脆性增大,易發生剝落或開裂,同時,為了控制滲氮層的厚度以及滲氮層的致密性,對表面氮化層金相組織生長機理進行研究,以實現對不同工藝參數的調控,并彌補目前行業內對異常氮化組織生長機理缺少大量數據的現狀,具有十分重要的意義。
02氮化相變機理
通常以氣體、熔鹽或顆粒為氮化劑,工件表面滲氮或碳氮共滲一般采用480~590℃,硬度達到68~72HRC。隨著技術的發展,國內外開發出低溫滲氮工藝,同時又為增加滲氮層厚度,提高滲氮效率,研究出表面納米化的低溫滲氮、循環滲氮、活性屏離子低溫滲氮等。依據Fe-N相圖(圖1),592℃時發生共析相變,γ-Fe(N)→α-Fe(N)+γ′-Fe(N)有奧氏體產生;650℃時發生共析相變,ε→α-Fe(N)+γ′-Fe4N在滲氮過程中,不同溫度、不同氮濃度等參數下,會形成不同的相組織,各種不同相組織及化學式如表1所示。
表2簡單總結了滲氮過程及相變序列,滲氮層形成時,含氮鐵素體(α-Fe(N))未達到飽和,隨滲氮時間延長而增厚;隨活性氮原子的滲入和擴散,N原子達到飽和發生相變,形成含氮奧氏體(γ-Fe(N)),以及奧氏體的相變,α-Fe(N)→γ-Fe(N)→γ′-Fe4N;當γ′相達到過飽和狀態時,形成含N量更高的ε相(Fe2-3N)。最后滲層主要由γ′相和ε相組成的化合物以及含氮鐵素體組成的擴散層組成,在奧氏體滲氮過程中的滲層中還會存在由γ-Fe(N)組成的介于化合物層和擴散層之間的過渡層。碳氮共滲和滲氮的機理基本是相似的,但由于碳的加入,使表面形成的相更為復雜,目前對于Fe-N-C 三元相圖,還沒有明確的鐵素體碳氮共滲和奧氏體碳氮共滲的溫度劃分點。

圖1 Fe-N相圖
表1 Fe-N圖中的相及性能

表2 滲氮相變序列及平衡態相組成

03氮化組織特征分析
滲氮過程中不同的相是由不同的晶體結構為基體組成,不同的晶體取向會體現出不同的力學性能,如表3所示,因此經不同工藝參數滲氮的零部件會體現出各種優缺性能。通過調控零部件表層的相結構,是實現提高零部件表面性能的重要手段,同時,通過研究各種相的組織形態特征,也是實現對組織的判定和創新工藝的重要途徑。
表3 與力學性能相關的滲氮因素

3.1γ′相金相組織特征
γ′相是以Fe4N為基的固溶體,為面心立方的間隙化合物,在590℃左右,γ′相在滲氮層中為終極相或過渡相;滲氮降溫過程中,γ′相即是γ相的共析相之一,也是過飽和α-Fe(N)的析出相;該相硬度高、韌性好,具有鐵磁性,且該相經研究具有擇優取向性,有利于提高耐磨性能,所以在氮化層金相組織檢驗分析中,該相是關注相。
低碳鋼滲氮組織,表層組織均呈現為典型的柱狀由表及里的“欒晶”定向生長方式,未發現六方截面,圖2為滲氮層的光學顯微鏡(OM)圖,圖3為掃描電鏡(SEM)圖片。據有關資料研究分析,這種異常組織和溫度過高,化合物分解轉變成奧氏體有關。化合物層的柱狀區域為過共析的γ′-Fe4N和γ-Fe(N)奧氏體相。溫度>590℃時,在α-Fe 基體上,γ和γ′相先后在表面沿氮原子擴散方向(箭頭指向)形核并生長,成柱狀晶粒,如圖4所示;溫度<590℃時,則沒有奧氏體相,γ相在冷卻過程中發生分解為屈氏體,其形態體現了氮的沿晶滲入,如圖5所示。由表及里,這種異常組織的不同區域呈現的硬度為表面硬度為800HV0.3,白亮層區域為320HV0.3,黑帶區域(屈氏體)360HV0.3,擴散層160HV0.3,基體組織區域145HV0.3,硬度的波動如圖6所示。

圖2 低碳鋼滲氮金相組織(OM圖片)

圖3 低碳鋼金相組織(SEM圖片)

圖4 γ'相金相組織(SEM圖片)

圖5 γ'及γ相分解組織(SEM圖片)

圖6 硬度-層深
溫度偏低和氣氛濃度不足時會造成γ′相生長不充分。當溫度<590℃時,圖7表層化合物未覆蓋完全,最厚處約6.3μm,并且γ′相層下沒有γ相的共析類組織;圖8中黑色的片條狀物質為馬氏體加殘余奧氏體,是奧氏體的過冷組織,由于氮氣的氣氛不足所造成,因為有奧氏體的分解產物,說明該工藝過程中溫度>590℃。從濃度角度考慮,表層的間隙化合物為γ′相,不是ε相。

圖7 γ′相不足產物(OM圖片)

圖8 γ′相不足產物(OM圖片)
3.2γ相組織及其分解相特征
圖9及圖10為低碳鋼表面氣體滲氮組織,白亮層和馬氏體層的X射線能譜分析(EDS)及元素含量如圖11、圖12所示。表面有極少量γ′相,白亮化合物層以γ相為主體,內層黑色物質為片狀馬氏體加殘余奧氏體,該種片狀馬氏體為高氮馬氏體,這種組織的形成是局部奧氏體化產生的,為奧氏體化后經過快速冷卻的組織。表層殘余奧氏體較多和馬氏體未完全顯示出來,與回火不充分有關,另外,奧氏體向馬氏體的轉變由于體積膨脹產生的內應力,也會抑制其轉變。如在奧氏體冷變成馬氏體的過程中,該種異常氮化組織形成的主要原是因為介質氣氛濃度不足造成的。這種異常組織如內應力過大易于產生變形,使零部件發生開裂。

圖9 γ分解金相組織(OM圖片)

圖10 γ分解金相組織(SEM圖片)

圖11 白亮層EDS及元素含量

圖12 馬氏體層EDS及元素含量
3.3ε金相組織及其特征
ε相是以Fe2-3N為基的固溶體,具有HCP(密排六方),氮原子濃度范圍為4.55%~11.0%,所以在穩定的Fe-N組織中,應該以ε相為主體,但是ε相為主的化合物層脆硬性較高,表層易剝落,為了提高其韌性,通常對表層進行調控。常規550℃滲氮表層的主要相為ε相和少量γ′相,圖13、圖14金相組織及圖15X射線衍射(XRD)譜顯示,表層主要是ε-Fe2-3N相和部分γ′相,圖13顯示基體組織完全球化,主要是由于在氮化溫度和氮化濃度較高,會引起組織奧氏體化的溫度偏低,基體組織進入球化工藝狀態。通常主要以ε相為主的白亮層組織形貌如圖16所示。

圖13 氮化金相組織(OM圖片)

圖14 表層金相組織(OM圖片)

圖15 表面XRD數據

圖16 ε相金相組織(OM圖片)
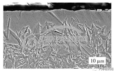
3.4α-Fe中的析出相組織特征
α相為含氮鐵素體,即氮在α-Fe鐵素體的間隙固溶體,590℃時,氮在α-Fe中的最大溶解度為0.1%。滲氮過程也就是活性氮原子不斷向基體中滲入和擴散的過程,當氮原子在α-Fe鐵素體中過飽和,以間隙化合物的形式析出γ′相,有很多不同的組織形態,如針狀、顆粒狀、脈狀等。氮化物的析出位置一般為過共析鋼,在晶界析出的比較多,在金相顯微鏡和低倍掃描電鏡上顯示為針狀,如圖17、圖18所示,但實際上該組織為類似于碳化物的條狀或“刀片狀”,主要是由于在某一特定晶界析出有關,如在高倍下的圖19及圖20所示;顆粒狀、網狀或脈狀的析出氮化物不在晶界上,而在晶界內,各個氮化物類同于碳化物的析出,都是孤立存在的,如圖19、圖21~24所示。
α-Fe中析出的各種相組織較為復雜,這與[N]的固溶量、擴散能力、析出條件等有關,但顆粒或網狀析出物沿晶面成一定規律排布,如網狀類似貝氏體組織的片層析出(圖22),板條狀的等距、有序排布,均顯示出了晶體的擇優取向特性。有關文獻研究發現,在低溫滲氮過程中,在氮比例較小時,滲氮層組織以γ′-Fe4N相為主,有明顯的(200)γ′擇優取向。

圖17 α-Fe中析出相(OM圖片)

圖18 α-Fe中析出相(SEM圖片)

圖19 α-Fe中析出相(SEM圖片)

圖20 α-Fe中析出相(SEM圖片)

圖21 α-Fe中析出相(OM圖片)

圖22 α-Fe中析出相(OM圖片)

圖23 α-Fe中析出相(OM圖片)

圖24 α-Fe中析出相(OM圖片)
04結論
通過大量數據研究分析了滲氮過程中的各種相的金相組織特征以及生長機理,這些資料可以作為滲氮工藝形成相組織的判定依據,并對其生長機理進行深入研究,彌補目前行業內,滲氮工藝過程中氮化物金相組織,尤其是異常氮化組織研究數據較少的狀況。
a.表面滲氮金相組織,主要形成有3類,間隙化合物(ε相、γ′相、ζ相等)、γ相的轉變組織、α-Fe相中的析出組織(針狀、顆粒狀、脈狀或網狀等)。以γ′相組織為主體,分析氮化物組織的多樣性和復雜性;ζ相氮濃度變化較小,不易在檢驗中確定。
b.γ相的轉變組織多為氮化物中形成的異常組織,為含氮屈氏體、含氮馬氏體加殘余奧氏體、也有類似于貝氏體形狀,多由氮化工藝的氮勢不足所致,造成了表面化合物無法穩定、均勻析出;這種異常組織的發現也會為表面氮化零部件的失效提供檢驗依據。
c.α-Fe相中的析出組織為擴散層中的氮化物,產生于冷卻過程,形狀較為復雜,某些形狀的析出物,如脈狀、板條狀沿晶面的有序排布,體現了該組織的擇優取向,可為織構調控方案設計提供參數。
end
來源:汽車材料網
(本平臺"常州精密鋼管博客網"的部分圖文來自網絡轉載,轉載目的在于傳遞更多技術信息。我們尊重原創,版權歸原作者所有,若未能找到作者和出處望請諒解,敬請聯系主編微信號:steel_tube,進行刪除或付稿費,多謝!)

